Equine case study – foal with submandibular swelling
An interactive case study where a 4 month-old Thoroughbred foal is presented for investigation of a swelling under its jaw. Conclusions must be drawn.
History and Signalment
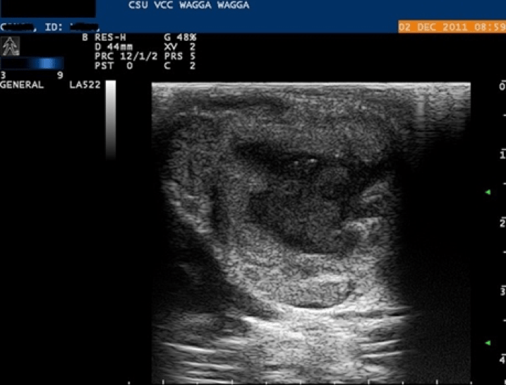
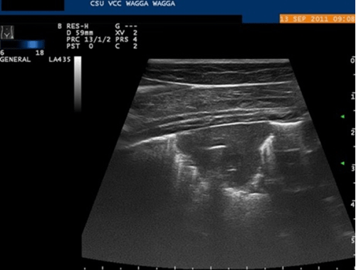
A 4 month-old Thoroughbred foal is presented for investigation of a swelling under its jaw. This and other foals have also been noted to cough occasionally and the stud suspect a viral infection circulating. On examination you identify that the sub-mandibular lymph nodes are increased in size and one is particularly large. Other clinical parameters are all within normal limits.
Examinations
You perform an ultrasonographic examination of the lymph nodes:


Q You advise:
1. That the foal has pulmonary abscessation and the abscess ought to be drained percutaneously as it is easily accessible.
2. The foal has pulmonary abscessation and ought to be treated with clarithromycin and rifampin
3. The foal has pulmonary abscessation and ought to be treated with erythromycin and rifampin
4.That the foal has focal necrosis of the right lung and should be euthanase
A. Either 2 or 3 would be appropriate but compared to erythromycin, clarithromycin has better oral bioavailability, requires less frequent dosing, and reaches more reliable concentrations in phagocytes; hence it tends to be preferred.
