Ultrasonography of the Urinary Bladder
Ultrasonography of the Urinary Bladder
Ultrasonography of the Urinary Bladder should be performed as part of every routine abdominal ultrasound examination.
Specific indications for bladder ultrasonography include:
- Urinary tract infections and abnormalities identified on urinalysis
- Dysuria or haematuria
- Urinary incontinence
- Evaluating the bladder and caudal abdomen following trauma
- Palpable masses in the region of the bladder
- Assessment of suspected ectopic ureters
- Facilitating cystocentesis or other regional biopsy methods
The urinary bladder should be easily identifiable on ultrasonography as a round, anechoic, fluid-filled structure situated in the caudal one third of the abdomen. The bladder can be readily evaluated when it is distended with fluid, allowing evaluation of changes to wall thickness, mass lesions, blood clots or traumatic haemorrhage, foreign bodies including calculi, diverticula and ectopic ureters. Assessment is facilitated by the high contrast between the anechoic contents and the bladder wall and/or any echogenic contents. This contrasts with radiography, where soft tissue border effacement reduces the probability of visualising a localised mass in the bladder wall, for example.
Technique
A 7-10MHz micro-convex or linear transducer will usually be suitable for examination of the lower urinary tract. The curved surface of a micro-convex probe aids angulation towards the pelvic inlet, facilitating examination of the bladder neck and urethra. During a routine abdominal ultrasound examination, the bladder should be assessed fully in both sagittal and transverse planes from the ventral abdomen. With a minimally distended bladder, care should be taken to avoid excess probe pressure because this can displace the fluid within the bladder, making identification and/or assessment difficult.
Normal Appearance
Normal bladder wall thickness varies depending on the degree of distention. In feline patients, bladder wall thickness can range from 1.3-1.7mm, whereas a greater degree of variation exists in canine patients; 2.3mm in a minimally distended bladder and 1.4mm in a moderately distended bladder.1,2
Ultrasound examination allows clear assessment of the bladder wall layers:
- Outer hyperechoic serosa
- Middle hypoechoic layer composed of three smooth muscle layers
- Inner hyperechoic submucosal layer
- Innermost hypoechoic mucosal layer
However, visualisation of wall layering may only be possible with high frequency transducers (Figure 1). 3

Figure 1. Normal Bladder Wall – In this sagittal plane image of the bladder, the layered appearance of the normal urinary bladder (UB) can be seen (between the arrows).
Although not visible in normal patients, the distal ureters should also be evaluated at the point where the intramural portion of the ureter enters the bladder. These small convex protuberances, the ureteral papillae, can often be visualised on the dorsal wall of the bladder neck at the bladder trigone (Figure 2). Urine enters the bladder from the ureters in peristaltic jets which may be seen as intermittent flows of echogenic fluid projected into the anechoic urine. This effect is caused by a difference in specific gravity between urine within the bladder lumen and urine entering from the ureter. This phenomenon can also be observed using colour doppler.

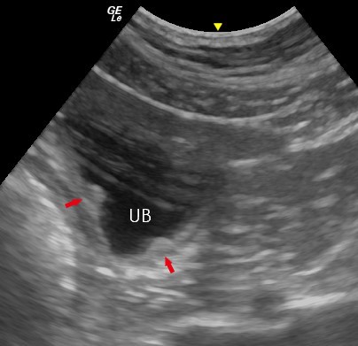
Figure 2. Normal Ureteral Papillae – In this transverse plane image of the bladder taken at the level of the bladder neck, the ureteric papillae (arrows) appear as small protuberances or ‘focal thickenings’ of the dorsal urinary bladder (UB) wall near the cranial aspect of the trigone.
Several ultrasonographic artefacts can present whilst imaging the bladder and these can be detrimental to obtaining diagnostic images. Side lobe artefact and slice thickness artefact can both mimic the appearance of abnormal structures within the bladder lumen (Figure 3).

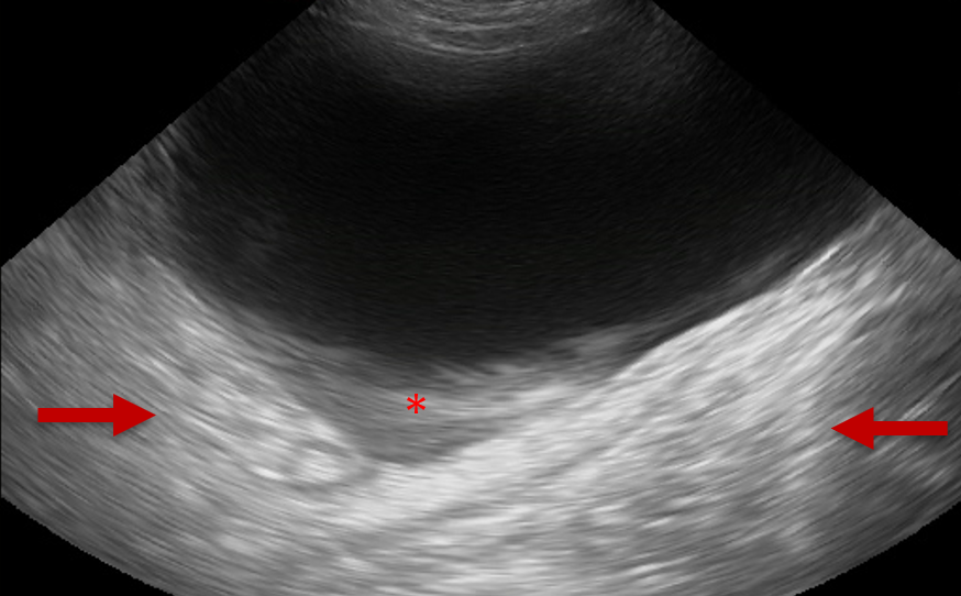
Figure 3. Slice Thickness Artefact – In this sagittal plane image of the bladder, slice thickness artefact has caused the appearance of material within the bladder lumen (*). The anechoic fluid filled bladder is also causing distal acoustic enhancement. This causes the tissues distal to the bladder to appear relatively hyperechoic (between arrows).
Orientating the transducer to ensure that the ultrasound beam is perpendicular to the bladder wall in the region of interest will aid differentiation between an artefact and true thickening or mass lesions associated with the wall.4
Similarly, agitating the fluid content by balloting the bladder will cause sediment to move or swirl within the lumen. Because free sediment will settle on the gravity dependant part of the bladder, imaging with the transducer positioned to view this area in the near field, or changing the patients position to cause sediment to shift, are techniques that can also be utilised to assist differentiation of artefact versus sediment present within the lumen of the bladder (Figure 4).

Figure 4. Bladder Sediment – This sagittal plane image of the bladder shows true sediment within the lumen of the urinary bladder (UB) as echogenic particles. The sediment has settled on the gravity dependent wall of the bladder, leading to the appearance of a relative thickening of the ventral wall of the bladder compared to the dorsal wall.5 Note the anechoic shadow (arrow heads) in the far field, deep to the sediment, which is caused by a lack of ultrasound waves propagating to the deeper structures. In this case, the acoustic shadow aids the diagnosis of abnormal, mineralised bladder content. However, not all luminal sediment will cause an acoustic shadow in this way.
Because the fluid content of the bladder is minimally attenuating to ultrasound, the tissue deep to the bladder will appear hyperechoic as a result of the ultrasound waves arriving to that area with more energy. This is known as distal acoustic enhancement (Figure 3). Reducing the far field gain can help to differentiate normal from abnormal.
Edge artefact is commonly observed at the cranial aspect of a distended bladder. This is caused by the refraction of ultrasound waves at the edge
of a curved structure, leading to a wedge-shaped, anechoic region distal to it. This may create the false appearance of a discontinuity in the cranial bladder wall. Again, utilising different imaging planes or angles can help to differentiate this artefact from other pathological conditions.
Ultrasonographic Appearance of Bladder Disorders
Assessment of the bladder should include evaluation of the wall thickness relative to the degree of distension, the layered appearance of the wall, and the luminal contents.
Cystitis can cause bladder wall thickening that ranges from focal, usually most pronounced cranioventrally, to more generalised (Figure 5). However, it is important to consider that the bladder wall thickness can also be normal in cases of cystitis and ultrasonographic findings should always be assessed in combination with clinical signs, haematology and biochemistry results, urinalysis and other imaging modalities.

Figure 5. Thickened Bladder Wall/Cystitis – The submucosal surface of the ventral wall of the urinary bladder (UB) appears irregular and thickened (arrows). There is loss of the smooth inner surface of the bladder and echogenic material can also be observed free floating in the luminal contents of the bladder.
Polypoid cystitis is an uncommon condition and can appear as a hyperechoic mass or masses protruding from the wall into the lumen of the bladder. These occur most commonly on the cranioventral aspect of the bladder (Figure 6). 6 However, as bladder neoplasia is more common, immobile masses attached to the bladder wall via a pedicle or wide base should be characterised through histological diagnosis only.

Figure 6. Polypoid Cystitis – A pedunculated hyperechoic mass (arrow) arising from the ventro-cranial wall and projecting into the lumen of the urinary bladder (UB).
Blood clots can occur in the bladder lumen secondary to:
- Infection
- Neoplasia
- Trauma
- Bleeding disorders
Blood clots will appear as irregularly shaped hyperechoic, non-shadowing opacities within the bladder lumen. They will usually settle on the gravity dependant aspect of the bladder wall. If clots are large or become adhered to the bladder wall, they can be difficult to distinguish from neoplastic lesions. In these cases, doppler evaluation can be used to document the presence or absence of vascular flow to the lesions. Neoplastic lesions should demonstrate vascular flow whereas blood clots will not.
Calculi (uroliths) are normally characterised by a focal hyperechogenicity associated with a distal acoustic shadow artefact. Uroliths are usually mobile within the lumen of the bladder or found resting on the dependent bladder wall (Figure 7). In cases with severe bladder wall inflammation, calculi can become adhered to the bladder wall.

Figure 7. Cystic Calculi – In this sagittal plane image of the bladder, three hyperechoic round structures are present within the lumen of the urinary bladder (UB) adjacent to the ventral wall (arrows). These structures were observed to ‘roll’ along the bladder wall during ultrasonographic examination of the patient. This is the typical appearance of cystic calculi. However, in this case there is no distal acoustic shadowing observed in the far field which may be as a result of the small size of the calculi observed.
Transitional cell carcinoma (TCC) is the most common form of bladder neoplasia in dogs and is most often located at the trigone, bladder neck and proximal urethra7. Transitional cell carcinomas generally appear as a focal area of thickened bladder wall with an irregular fixed mass extending into the bladder lumen. Less commonly, other forms of epithelial or mesenchymal neoplasia can occur. A minimally distended bladder can make detection of smaller masses more difficult. In these cases, evaluation at a later timepoint or catheterisation and distension with sterile saline may assist with visualisation.
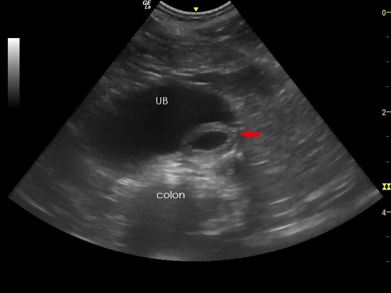
In rare cases, congenital abnormalities can be observed ultrasonographically. Ureteroceles are congenital cystic dilations of the of the terminal ureter. On ultrasound they appear as round, thin walled structures projecting into the bladder lumen and filled with anechoic fluid (Figure 8). Ultrasonography can also detect changes associated with ectopic ureters. These include dilated ureters travelling beyond the dorsal bladder neck (Figure 9) and the absence of ureteric jets from the ureteric papillae at the trigone area. However, diagnosis of ectopic ureters can be challenging and alternative diagnostic tests such as contrast enhanced computed tomography or cystoscopy can be utilised8.

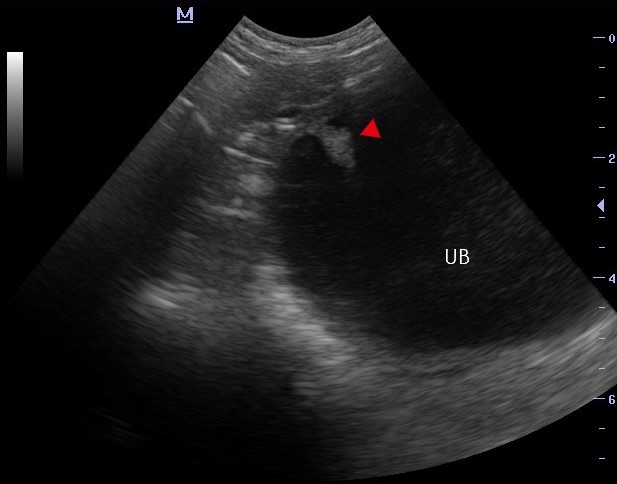
Figure 8. Ureterocele – A thin-walled cystic structure (ureterocele, red arrow) is present in the wall of the trigone region of the urinary bladder (UB). The affected ureter can insert at a normal position (orthotopic) or may be ectopic.

Figure 9. Ectopic Ureter – A dilated ureter is observed dorsal to the urinary bladder (UB). Doppler ultrasonography can help distinguish dilated urinary tract structures from neighbouring vascular structures.
Sampling Considerations
Ultrasound guided cystocentesis can be used to obtain urine samples for cytology and culture. It is especially useful where the bladder is small or difficult to palpate.
You can be perform ultrasound guided fine needle aspiration of bladder tumours using a 22 -25 gauge needle. However, needle tract metastasis has been associated with TCCs therefore the risk of performing this procedure should be considered and discussed with owners prior to obtaining a sample9.
Biopsy samples can also be obtained from lesions within the bladder lumen using ultrasound guided traumatic catheterisation. In this technique, saline is used to distend the bladder, if empty, and the catheter tip, which appears as two parallel hyperechoic lines, is guided to the lesion using ultrasound. Suction is then used to create a vacuum between the catheter and lesion to be sampled. The catheter is then withdrawn to obtain tissue fragments for cytology or histology10.
References
- Geisse, A.L., Lowry J.E., Schaeffer D.J., Smith W.C. (1997) Sonographic evaluation of urinary bladder wall thickness if normal dogs. Veterinary Radiology and Ultrasound 38: 132-137.
- Finn-Bodner S.T. (1995) The Urinary bladder, In: Practical Veterinary Ultrasound. Eds Cartee R.E., Williams and Wilkins, Philadelphia, pp 200-235.
- Dinesh D., Behl S.M., Singh P., Tayal R., Pal M., Chandoila R.K. (2015) Diagnosis of urinary bladder diseases in dogs by using two-dimensional and three-dimensional ultrasonography. Veterinary Worl, 8: 819-822.
- Nyland T. G., Widmer W.R., Mattoon J.S. (2015) Urinary Tract, In: Small Animal Diagnostic Ultrasound 3rd edn., Eds. Mattoon J.S., Nyland T.G., Elsevier, St. Louis, pp 557-607.
- Mariano A.D., Penninck D.G., Sutherland-Smith J., Kudej R.K. (2018) Ultrasonographic evaluation of the canine urinary bladder following cystotomy for treatment of urolithiasis. Journal of the American Veterinary Medical Association 252: 1090-1096.
- Martinez I., Mattoon J.S., Eaton K.A., Chew D.J., DiBartola S.P. (2003) Polypoid cystitis in 17 dogs (1978-2001). Journal of Veterinary Internal Medicine 17: 499-509.
- Norris A.M., Laing E.J., Valli V.G., Withrow S.J., Macy D.W., Ogilvie G.K., Tomlinson J., McCaw D., Pidgeon G., Jacobs R.M.. (1992) Canine bladder and urethral tumors: A retrospective study of 115 cases (1980-1985). Journal of Veterinary Internal Medicine 6:145-153.
- Owen L.J. (2018) Ureteral ectopia and urethral sphincter mechanism incompetence: an update on diagnosis and management options. Journal of Small Animal Practice 60: 3-17.
- Liffman R., Courtman N. (2017) Fine needle aspiration of abdominal organs: a review of current recommendations for achieving a diagnostic sample. Journal of Small Animal Practice 58: 599–609.
- Lamb C.R., Trower N.D., Gregory S.P. (1996) Ultrasound-guided catheter biopsy of the lower urinary tract: technique and results in 12 dogs. Journal of Small Animal Practice 37: 413-416
Related Learning