Motion is your enemy in CT of… the head
When performing any Computerised Tomography (CT) scan, it is vital that the patient is correctly immobilised to prevent motion artefact. Depending upon the type of scanner and the region being scanned, you will have a scan time ranging from 15-60 seconds. Any movement of the patient during this time will greatly impact your image quality and potentially lead to pathology being missed. Obviously, a small degree of motion is inevitable, but a lot can be done to ensure your region of interest is as still as possible; this will really help to ensure good image quality.
In this blog we will concentrate on imaging of the head, as this is an area where the effects of motion are often forgotten.
When undertaking a CT of the head you will normally have your patient positioned in sternal recumbency and you should have the forelimbs extended caudally – you don’t want the feet to be within the scan area, as this can cause artefacts and reduce image quality. It is also important that the patient should be as straight as possible, with the long axis of the head perpendicular to the scan plane, to help you to achieve symmetrical images. For deep chested dogs this can be hard, so it is worth having the head up on a foam pad – this will help to protect the airway and reduce artefacts caused by respiration, as well as helping to get the head straight as well.
Often, having the patient under GA can help because although you will be able to see the ET tube on the scan, you will have much better control of the airway. Thereby reducing the risk of the head moving when the animal takes a deep breath.
Remember not to have any sandbags in the bore adjacent to the region you are scanning, as they will cause major artefacts. However, they can be used to support the thorax and to aid immobilisation of the patient.
One of the common mistakes made when undertaking any CT scan is to forget about how the rest of the patient is positioned. This can affect how stable your region of interest is; if the body is straight it will normally be more stable and thus help to keep the head still, making positioning much easier. The use of sticky tape can be useful because, in addition to immobilising the head, it also serves as a visual reminder not to move the patient’s head when checking it. This is particularly important if you are doing pre- and post-contrast scans as you want the patient to be in exactly the same position.
As I always say when training people to scan; “a few extra minutes spent positioning the patient can save a lot of time later when trying to read the images and prevent having to rescan them”.

CT of a dog’s head with motion artefact. You can see double edges on the nasal turbinates (arrow).

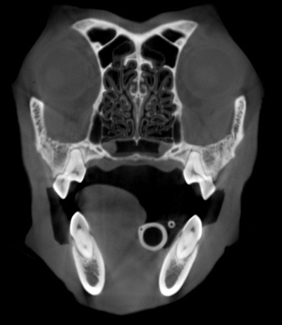
CT of a dog’s head in a similar position (different patient) without motion artefact – you can see how much crisper the image is. Note how much clearer the teeth appear.