Off-incidence scanning in equine distal limb ultrasonography
A case study explaining certain errors that can occur in ultrasonography and how they can be turned into an advantage.
Help or Hindrance?
Ultrasonography is, like all medical diagnostic imaging modalities, subject to ‘errors’ or artefacts which can reduce image quality. Numerous artefacts exist that are inherent to the technology because of the underlying physics; as we cannot alter the laws of physics we are largely unable to prevent these artefacts. However, understanding how the artefacts are formed, where we expect to see them, how they appear, and what their clinical implications might be can allow us to ensure that their detrimental impact on the diagnostic value of the ultrasonographic exam is minimised.
Off-incidence artefacts are something that any equine vet will have experienced early on in their career when they first tried to scan the tendons and ligaments of the distal limb of a horse. The ‘best’ (i.e. most accurately representative of reality) image is acquired when the ultrasound beam is directed at 90o to the tissue being imaged (i.e. the tendon or ligament fibres), as this leads to the reflection of most of the incident sound waves. Altering the angle of the probe even just a few degrees can cause a dramatic reduction in the quality of the image, quickly rendering it non-diagnostic (and potentially mimicking pathology).
However, this can sometimes be turned to our advantage. One of the important parts of the assessment of the tendinous and ligamentous structures in the distal part of the equine limb is checking the integrity of the borders of those structures, and deliberately imaging them in an off-incidence manner (just a few degrees are necessary) will result in the tendons and ligaments appearing more hypoechoic than ‘normal’, but the borders of those structures remain bright and thus appear relatively hyperechoic (and so stand out – see Fig.1).

A

B
Fig. 1 SDFT and DDFT in the distal metacarpus, scanned on-incidence (A) and off-incidence (B); notice the reduced echogenicity of the tendon fibres in B, resulting in an apparent hyperechogenicity of the borders (outline) of the tendons. Images courtesy of Marcus Head, Rossdales Diagnostic Centre.
Remember also that the fibres of the inferior check ligament (ICL; or accessory ligament of the deep digital flexor tendon – ALDDFT) run at an oblique angle to the fibres of the other major structures in the palmar/plantar aspect of the limb in this region, and so will appear hypoechoic to these structures when they are optimised. In order to get a reliable image of the fibres of the ICL it is important to remember this and alter the angle of scanning accordingly, so that the ICL is being imaged on-incidence (not true off-incidence scanning, but at this point the other structures will appear hypoechoic because they are being imaged off-incidence). See Fig. 2 below.

A

B
Fig. 2 SDFT, DDFT and ICL (ALDDFT) scanned with the ICL off-incidence (A) and on-incidence (B). Images courtesy of Marcus Head, Rossdales Diagnostic Centre.
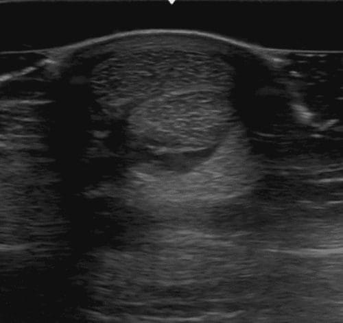
Finally, remember too that tendon repair involves the laying-down of collagen ‘scar’ tissue within the tendon or ligament, the fibres of which do not have the same organised proximal-distal alignment seen in normal healthy tendons. Thus, deliberately scanning a healing tendon off-incidence will usually catch at least some of these ‘scarring’ fibres on-incidence, making them appear hyperechoic to the surrounding healthy off-incidence fibres which will appear hypoechoic. See Fig. 3 below.

A

B
Fig. 3 SDFT and DDFT in the mid-distal metacarpus, scanned on-incidence (A) and off-incidence (B). This lesion was calcified (note acoustic shadowing), but the lesion itself is more obviously defined in B, when scanned off-incidence.
In summary, it is usually preferable to be imaging the tendinous and ligamentous structures of the equine distal limb in an on-incidence fashion, and care should be taken not to over-interpret artefacts (in particular apparent core lesions) caused by inadvertent off-incidence imaging; however there are occasions when deliberate off-incidence scanning can yield valuable extra information.