Small animal veterinary case study – Harley the cat
Case provided by Yvonne McGrotty BVMS CertSAM DipECVIM-CA MRCVS
European Specialist in Veterinary Internal Medicine
RCVS Specialist in Veterinary Internal Medicine

Harley, an adult male cat was presented with an acute history of vomiting and lethargy (24 hours).
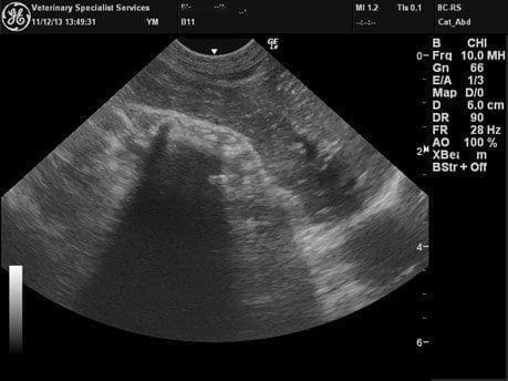
The following abdominal radiographs and abdominal ultrasounds were performed to investigate the cause of the acute vomiting.

Figure 1: Right lateral abdominal radiograph showing gaseous distension of the pyloric antrum

Figure 2: Ultrasound image showing curvilinear echogenic interface with complete distal acoustic